
There’s a virus you’ve never heard of that’s estimated to infect 90 percent of people and hide quietly in your cells throughout your life – but if it becomes active, it will destroy your brain. If that’s not shocking enough, researchers reported this week that there may be a new way to activate this virus – which affects 10 percent of adults worldwide.
This virus is human polyomavirus 2, commonly called either JC virus or John Cunningham virus, named after the poor patient from whom it was first isolated in 1971. It appears in the urine and stool of infected people and is spread through the fecal-oral route. Many people are thought to become infected early in life, and blood test surveys have shown that 50–90 percent of adults have been exposed to it at some point.
Researchers speculate that the initial site of infection is the tonsils, or perhaps the gastrointestinal tract. But wherever it does occur, that initial infection is asymptomatic. At that point, a person is infected with the archetype JC virus, quietly establishing a persistent but completely silent lifelong infection.
For most people, their JC virus infection will be just that—silent. But for some unlucky people, the JC virus will awaken, rearrange its genetic material, and transform into a brain-destroying nightmare that causes a disease called progressive multifocal leukoencephalopathy, or PML.
devastating disease
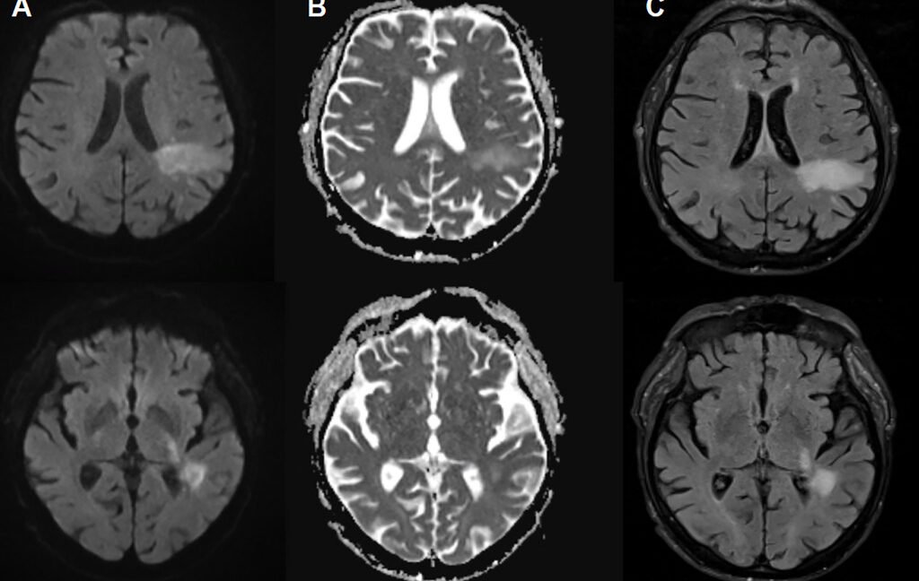
In PML, the new disease-causing virus or “PML-type” JC virus actively attacks the brain, destroying specific brain cells, including the cells that form the insulating myelin sheath that protects nerve cells. This causes widespread demyelination, resulting in nerve cell dysfunction and death. On imaging, PML may appear as signature lesions in the brain. PML is diagnosed by those imaged lesions paired with test findings of JC virus DNA in cerebrospinal fluid. But for patients experiencing PML, symptoms can mimic everything from stroke to multiple sclerosis, leading to problems like speech impairment, visual defects, motor dysfunction, and seizures.
PML was first identified in a cancer patient in 1958. But it was considered an extremely rare condition until the 1980s, when it began to be seen in patients with HIV/AIDS. In fact, PML became an AIDS-defining disease, with 2–5 percent of HIV-infected patients developing it in the early stages of the epidemic. The situation at that time was equally fatal. But with the introduction of highly active antiretroviral therapy (HAART) in 1996, PML cases declined and the disease is no longer a death sentence, although survivors often suffer significant permanent damage.
<a href